
X-ray Imaging. Compliance Consultants' earliest projects were
ionizing radiation sources - contained within liquid cooled, lead
lined, x-ray tubes with rotating anodes. We matured into collimators,
film cassettes, collimators, exposure controls, patient handling
systems and x-ray generators.
Compliance Consultants worked on both for regulatory and engineering projects on ionizing (x-ray tube technology) and non- ionizing (fluroscopy) imaging systems. Involved in early Computerized Axial Tomography systems as well as early soft issue (low-dose) digital imaging/enhancement systems using array processors.
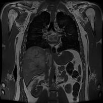
We were at the forefront when digital radiography was first conceived adapting array processors to render digital images from vascular angiography. We matured into other imaging modalities...fluoroscopy, ultrasound, CAT scanners, MRI, PET, ....these mature products have derivative that include vessel analysis and calcium scoring softwar...Regulation Number: 21 CFR 892.2050, Product Code: LLZ
Compliance Consultants worked on both for regulatory and engineering projects on ionizing (x-ray tube technology) and non- ionizing (fluroscopy) imaging systems. Involved in early Computerized Axial Tomography systems as well as early soft issue (low-dose) digital imaging/enhancement systems using array processors.
We were at the forefront when digital radiography was first conceived adapting array processors to render digital images from vascular angiography. We matured into other imaging modalities...fluoroscopy, ultrasound, CAT scanners, MRI, PET, ....these mature products have derivative that include vessel analysis and calcium scoring softwar...Regulation Number: 21 CFR 892.2050, Product Code: LLZ
